Bemutatkozás és szakmai motiváció
Budapesten, 1960. augusztus 20-án születtem, napra pontosan 53 évvel begyógyász nagyapám, Dr. Bálint Géza születését követően. Édesapám Dr. Bálint Géza is reumatológus, most 90. évében is reumatológiai könyvfejezetet ír tanítványaimmal a reumatológiai anamnézisről és fizikális vizsgálatról. Ő 60 évet dolgozott ugyanabban az Intézetben, mely első és utolsó munkahelye volt. Orvostudományi kutatásokban gyakran használják a betegéveket statisztikai számításokhoz. Nos, orvosévekre fordítva a számítási mutatót, mi lassan elérjük a 100 reumatológus szakorvosi évet, sőt, ha a nagycsaládot nézzük, akkor 1000 orvosévnél is többet adtunk a világnak. Persze ez nem érdem, hanem tény és történelem. Önző módon -mondhatom hála Istennek- nem minden családtagom fejezte be az orvosegyetemet, így édesanyám sem fejezte be, ezért sokat lehettem vele gyermekként, melyért hálás vagyok neki és a sorsnak.
A Szentendrei Ferences Gimnáziumban érettségiztem, mely a család mellett meghatározta életszemléletemet. Nem véletlenül, az Állatorvostudományi Egyetemre jelentkeztem először, sikertelenül. Nehéz volt a felvételi (3 tantárgy: kémia, biológia, matematika) és csak egy állatorvostudományi egyetem volt/van az országban. Feladtam. Az orvosegyetemre felvettek. Nem voltam jó tanuló, de ami érdekelt azt nagyon jól megtanultam és tudtam. Hála Istennek sok minden érdekel a mai napig az életben.
Az egyetemi évek alatt hamar kiderült számomra, hogy nem csak szakmát kell választanom, hanem munkahelyet és mentort, főnököt is. Hosszas hezitálás után a reumatológiát választottam a klinikai orvostudományok közül, mert a mozgásszerveket mindig szerettem és mert otthon sok angol nyelvű szakkönyvünk volt és édesapámmal remekeket vitatkozva tudtam tanulni otthon. Ez volt az elméleti felkészülésem, gyakorlati tudást pedig a reumatológiára is értve mindezt, a betegektől és a betegségeikből tanultam meg a szakmát. Hogyan bővítettem még látásomat? Szakorvosi vizsgám előtt vettem kézbe az ultrahang transducert, hogy a betegek bőre alá nézve, láthassam az ízületeiket, mozgásszerveiket. Így tudtam bővíteni látásomat és azóta 26 éve le se tettem az ultrahangot, használtam a mindennapi betegellátás, kutatás és oktatás során.
Az Országos Reumatológiai és Fizioterápiás Intézetben lettem jeles eredménnyel reumatológus szakorvos. Dr. Megyeri Ágnes főorvosasszony -akit nemes egyszerűséggel magamban csak Generális Asszonynak neveztem- volt első osztályvezetőm (MTMT.30 )*. Sokat tanultam tőle és hagyott dolgozni, ami nagyon fontos volt számomra szakmai pályafutásom elején. Második főnököm Prof. Roger D Sturrock volt a University of Glasgow-n, Royal Infirmary, Centre of Rheumatic Diseases-ben. Nem kétséges, hogy neki köszönhetem, hogy megismerhettem közvetlen közelről az európai reumatológiai értékteremtőket és bekerültem a világ reumatológiai körforgásába (MTMT 95,224). Végül Dr. Balogh Zsolt főorvos úrnak köszönhetem, hogy helyetteseként megszerettem a gyermekreumatológiát.
Életem során 18 évig voltam beosztott szakorvos és lassan ugyanannyi ideje vagyok osztályvezető. Mindig, és ma is ízig-vérig klinikusnak, reumatológusnak tartom magam, soha se szakadtam el a betegellátástól. Mindig is a betegek, nővérek, gyógytornászok és a fiatal és nálam jóval idősebb orvosok között éreztem igazán jól magam, mert a nem-szakmabeliek más szemléletükkel, a fiatalok új tudásukkal és az idősebbek bölcsességükkel gazdagítottak.
Szakorvosi munkám bemutatása
Fiatal szakorvosként járóbetegeket kezeltem ambulanciánkon, -annyi beteget amennyit engedélyezett és amennyire csak szüksége volt az Intézetünknek- és emellett néha 20 fekvőbeteget is elláttam heteken keresztül a kórházamban. Osztályvezetőként ma is ambulálok és beállok a sorba fekvőbeteget felvenni, ha nagyon kevesen vagyunk és szükség van rám. Osztályunk hivatalos reumatológiai területi ellátottsági kötelezettsége nem kevesebb, mint kétmillió-háromszázezer fő (Budapesten VIII. kerület, XI. kerület, XII. kerület, XIV kerület, Pest vármegyében: a ceglédi, a dabasi, az érdi, a nagykőrösi, a ráckevei és a szigetszentmiklósi járások és végül Baranya, Bács-Kiskun, Fejér és Tolna vármegye lakossága). Meg kell mondanom, hogy a vármegyékből kevesen jutnak már el hozzánk a Pécsi Tudományegyetem Reumatológiai és Immunológiai Klinikája, a kaposvári, székesfehérvári, kecskeméti megyei kórházak leveszik rólunk ezt a terhet.
Különleges év volt 2020, amikor Főigazgatóm megbízott Intézetünk nem-intenzív COVID osztályának (Covid 6/III.sz. Reumatológiai Osztály) vezetésével. Nem belgyógyászt, nem immunológust, hanem egy reumatológust választott. Választását úgy értékeltem, mint a szakmám és személyem megbecsülését. Jól dolgoztak a kezem alatt a zömmel fiatal rezidens és szakorvos beosztottjaim, ápolóink és helyettesem Dr. Dillmann József. 5%-os volt a mortalitási rátánk, mikor a nemzetközi irodalom szerint a hagyományos, általános nem-intenzív COVID osztályok halálozási rátája 11.5-25%-os volt.
2020 december 17-én a védőoltások megjelenése előtt én is megfertőződtem a vírussal, a láz, nehézlégzés mellett minden tüdőszegmentumomban tüdőgyulladásra és tüdőemboliára utaló CT jelek voltak láthatóak. Csak 2021 májusában tudtam visszatérni dolgozni az osztályomra, de kevés maradandó elváltozással túléltem a XXI. század eddigi legnagyobb és legtöbb halálos áldozattal járó járványát. Ezt követően újabb megtiszteltetés ért, mert a felnőttek mellett én gyerekeket is olthattam (2. fotó). Összességében 1000 körüli gyereket oltottam be, de nem sikerült feleségem szépapját Dr. Baintner Ferencz Nógrád megyei főorvost megelőznöm a” házi gyermekoltási versenyben”, mert ő egymaga himlő ellen 1360 gyermeket oltott be 1844-ben (1). Nemes versenyben maradtam tehát alul.
Fontosnak tartottam, hogy betegellátás mellett betegek részvételével, a betegellátás számára hasznos tudományos munkát is végezzek. Éppen ezért nagyon sok (több mint 50 vizsgálat, több mint 5000 beteg) olyan nem-gyógyszervizsgálati kutatásban vettem részt, melyeken a betegek nem a laboratóriumi, képalkotó eredményeikkel vagy a vérükkel, hanem személyesen is részt vettek. E munkák célja a reumatológiai és ultrahangos definíciók, klasszifikációk, intervenciók, monitorozás, komorbiditások vizsgálata és un. „patient-reported outcome” kidolgozás volt. Legtöbb vizsgálat során a rheumatoid arthritist, polymyalgia rheumatica-t, az arthritis psoriatica-t, a spondarthritiseket, köszvényt, arthrosist és lágyrészbetegségeket pl. ínbetegségeket, enthesopathiát vizsgáltam (lsd a teljes MTMT-t). Több mint 15 angol és magyar nyelvű esettanulmányt írtunk le munkatársaimmal betegségek új vonásairól, asszociációiról vagy újfajta kezelésükről (lsd a teljes MTMT-t).
Legfontosabb scientometriai adataim a Magyar Tudományos Művek Tára (MTMT) szerint:
https://m2.mtmt.hu/gui2/?type=authors&mode=browse&sel=authors10031667
Összes közlemény száma | 358 |
H-index | 48 |
G-Index | 105 |
Idézetek száma | 9023 |
Total impakt faktor: | 557.969 |
Munkáim eredményeképpen a University of Glasgow-n védtem meg PhD fokozatomat 2002-ben, melyet a Semmelweis Egyetem honosított és vettek fel 2007-ben az 1599-ben alapított Royal College of Physicians and Surgeons of Glasgow tagjai sorába. Az osztályom pedig 2015-től marad, -ötévenként megméretve- egyelőre 2025-ig meghosszabbítva -a reumatológusok európai szervezetének- az EULAR (European Alliance of Associations for Rheumatology) Network of Imaging Centres kutató központja. Más EULAR centrum, nincs ma Magyarországon az én osztályomon kívül, mely kiválósági központ lenne. Az elmúlt 20 évben 6 földrészen, több mint 40 országban tarthattam előadásokat, képalkotó UH tanfolyamot. Az American College of Rheumatology US Study Group Co-Chairman-ja voltam 5 éven keresztül. Jelenleg az ARLAR (Arab League of Associations for Rheumatology) és az ERA (Emirates Rheumatology Academy) UH tanfolyamának tudományos igazgatója, az APLAR (Asia-Pacific League of Associations for Rheumatology) POCRUS (Point of care US) oktató csoportjának egyik vezetője, valamint az EULAR UH csoportjának alapító tagja vagyok. Az Európai Unió (EU) Framework Programmes Horizon 2020 által támogatott COST (European Cooperation in Science and Technology) NetwOArk (The European Network on OsteoArthritis) programmjának magyar, reumatológus tagja vagyok, mely egyetlen hazai reumatológiai Horizon program. Büszke vagyok, hogy a Magyar Reumatológusok Egyesületének elnökeként javasoltam, hogy Magyar Reumabetegek Egyesülete (MRBE) 25 éves munkáját egyesületünk egyik legnagyobb díjával a Bozsóky Sándor – A Magyar Reumatológiáért Érem és Díszoklevéllel ismerjük el, melyet vezetőségünk titkos szavazással el is fogadott és mely díjat éves 2024-es vándorgyűlésünk alkalmával Balatonfüreden át is adtunk.
Gyakorlatom és tudományos munkáim újszerűsége, társadalmi és szakmai jelentősége
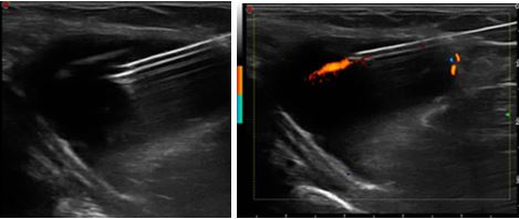
Enthesitis okozta UH elváltozások
B-mód UH vezérelt folyadékaspiráció, Power Doppler módú felvétel.