Az év legkiemelkedőbb tudományos vagy innovációs munkáját végző szakorvosa - KÜLÖNDÍJAS

Dr. Szalárdy Levente PhD
habitált egyetemi adjunktus
Szegedi Tudományegyetem, Általános Orvosi Kar Neurológiai Klinika

Dr. habil. Szalárdy Levente pályázata

Szakmai bemutatkozás

1986. május 31-én születtem Vácott, pedagógus szüleim szeretetteli családjába, harmadik gyermekként. A Pannonhalmi Bencés Gimnáziumban töltött középiskolai évek (1998-2004) után a Szegedi Tudományegyetem (SZTE) Általános Orvostudományi Karán (ÁOK) végeztem tanulmányaimat és szereztem summa cum laude orvosdiplomát 2010-ben. Tanulmányi eredményeim négy alkalommal díjazták Kiemelt Ösztöndíjjal, egy alkalommal Köztársasági Ösztöndíjjal. 2010-től az SZTE ÁOK Neurológiai Klinikáján, PhD hallgatóként kezdtem pályafutásom. A mitochondriális működészavar és az idegsejtpusztulás (neurodegeneráció) kapcsolata valamint a neurodegeneratív betegségek diagnosztikájának elősegítését célzó agyvíz (liquor) biomarkerek területén végzett kutatómunkámat Dr. Klivényi Péter témavezetése és Dr. Vécsei László akadémikus mentorálása alatt végeztem. Ebben az időszakban a Bécsi Tudományegyetem Klinikai Neurológiai Intézetében tett több hosszabb tanulmányutam során fejlesztettem a neurodegeneráció területét érintő neuropatológiai ismereteimet Dr. Kovács Gábor Géza, világszerte elismert neuropatológus mentorálásával. A doktori időszak alatt a tudományos munka mellett a Neurológiai Klinika Liquordiagnosztikai Laboratóriumának munkáját segítettem ügyeleti tevékenységgel, ez irányú tudásomat a bécsi tanulmányutak során az ottani laboratóriumban bővítettem. 2013-tól az SZTE ÁOK (később Szent-Györgyi Albert Orvostudományi Kar, SZAOK) Neurológiai Klinikájának rezidenseként kezdtem betegellátó klinikai munkámat, mely mellett a tudományos tevékenységet aktívan folytattam. 2017-ben szereztem summa cum laude PhD doktori fokozatomat, egy örökletes gyermekkori mitochondriális agyvelőbántalom hiánypótló egérmodelljének részletes neuropatológiai és kognitív-viselkedésbeli karakterizálásáért. 2018-ban kiválóan megfelelt eredménnyel szereztem neurológus szakorvosi vizsgát.

A 2010-2018 között végzett tudományos kutatómunkámat SZTE Talent Ösztöndíjjal, Jedlik Ányos Doktorjelölti Ösztöndíjjal, Joó Ferenc Díjjal, valamint Környey Emlékéremmel ismerték el, 2018-ban pedig Junior Prima Díjban részesültem. Az időközben klinikai és tudományos érdeklődésem középpontjába került agyi amyloid érbetegség (cerebral amyloid angiopathy, CAA) radiológiai és liquor biomarker vizsgálataira fókuszáló Bolyai János Kutatási Ösztöndíj pályázatomat 2018-ban a Magyar Tudományos Akadémia abban az évben a legmagasabb pontszámmal (98/100), I. helyezettként bírálta el. A 3 éves ösztöndíjas időszak alatt háromszor nyertem Bolyai+ Felsőoktatási Fiatal Oktatói, Kutatói Ösztöndíjat. 2020-ban Magyar Állami Eötvös Ösztöndíj pályázatot 97/100 pontszámmal nyertem meg a CAA irányú kutatásaim Toronto-i Egyetemen való folytatására; a pandémia miatt kiutazás és így az ösztöndíjas szerződéskötés ugyan végül nem valósulhatott meg, azonban a tervezett munkát később egy két hónapos toronto-i kutatóút során végeztem el. A kutatásaim jelenleg az SZTE SZAOK Hetényi Géza Pályázat támogatásával végzem, melyet 2023-ban nyertem el.

A tudományos publikálási tevékenységem metrikus adatai a Magyar Tudományos Művek Tára 2025.02.28-i lekérése alapján: Hirsch-index: 18; melynek alapja 34 angol nyelvű tudományos folyóiratcikk, ebből 10 első és 2 utolsó szerzős eredeti közlemény, valamint 4 első szerzős összefoglaló közlemény; 23 közlemény Q1-es minősítésű; a független idézettségek száma: 1326. Az összesített impakt faktoraim száma: 179,626.

Neurológus szakorvosként klinikai osztályos és járóbetegellátó szakorvosi feladatokat, sürgősségi 24 órás és készenléti ügyeleti feladatokat, valamint a társklinikák felé konzíliárusi tevékenységet is rendszeresen ellátok. Emellett Klinikánk Liquordiagnosztikai Laboratóriumában jelenleg vezető leletező szakorvosként látok el nemzetközi minőségkontroll alatt álló liquordiagnosztikai feladatokat, hozzájárulva a régió és az ország több neurológiai centrumának neuroimmunológiai diagnosztikájához. Első észlelőként a patológus kollégák felé való jelzéssel hozzájárulok rosszindulatú daganatok központi idegrendszeri érintettségének diagnosztikájához, a két intézet ezirányú metodikáját közösen optimalizáltuk. A tudományos munkavégzés keretében végzett liquor amyloid-β, Tau és foszforilált Tau (pTau) ELISA módszerrel végzett és nemzetközi folyamat keretében minőségkontrollált mennyiségi meghatározása révén kollégáimmal több, mint egy évtizede járulunk hozzá a régió Alzheimer valamint Creutzeldt-Jakob betegségek irányában történő emelt szintű differenciáldiagnosztikájához.

A betegellátó és tudományos munka mellett kiemelt fontosságúnak tartom a graduális és posztgraduális oktatást és képzést. 2019-től egyetemi tanársegédként, 2022-től egyetemi adjunktusként, 2024-től habilitált egyetemi adjunktusként oktatok az SZTE-n. Öt egyetemi szakdolgozat, 2 díjazott Tudományos Diákköri (TDK) előadás, 1 különdíjat nyert Országos TDK előadás, valamint két I. helyezett TDK pályamunka kötődik a mentorált hallgatóimhoz. Két PhD hallgatóm közül az első a közeljövőben védi disszertációját. Emellett 2019 óta magyar és angol nyelven tartok neurológiai gyakorlati és szemináriumi oktatást V. és VI. éves orvostanhallgatóknak, valamint 2024-től tantermi előadő vagyok magyar és angol nyelven liquordiagnosztika témakörben, V. éves orvostanhallgatók neurológiai oktatása keretében. Liquordiagnosztika területén rendszeres előadója vagyok az Egyetem neurológus rezidensképzéseinek, alkalmanként országos szintű továbbképzéseknek, a Szegeden megtartott neurológia szakvizsgák során pedig liquordiagnosztikai részvizsgáztatóként közreműködöm. Szakdolgozati és PhD opponensi feladatokat is ellátok. A Klinikai Orvostudományok Doktori Iskolában rendszeresen tartok posztgraduális képzéseket PhD hallgatóknak. Rendszeres előadója vagyok hazai és nemzetközi szakmai és tudományos konferenciáknak, a CAA és egyéb agyi kisérbetegségek differenciáldiagnosztikája és ellátása területén rendszeres meghívott konferenciaelőadóként járulok hozzá hazai neurológus közösség továbbképzéséhez.

A jó gyakorlat bemutatása

A klinikai betegellátás vonatkozásában érdeklődésem középpontjában az agyi érbetegségek, azon belül is különösen a vérzéses agyi kisérbántalmak állnak. Ennek kiindulópontját és e tekintetben a szakmai életem fordulópontját egy még rezidens koromban történt meghatározó jelentőségű orvos-beteg találkozás jelentette.

Egy a hatvanas éveiben járó férfi a saját lábán jött be Klinikánkra és állt meg a Stroke Őrző orvosi szobájának nyitott ajtaja előtt, ahol éppen akkor én tartózkodtam egyedül. A beteg a kezében egy magánúton készült koponya CT felvételeit tartalmazó CD-t tartott, amin elmondása szerint valami olyasmit találtak, amit javasoltak, hogy sürgősen mutasson meg stroke ellátó neurológusnak. A felvételeken több gócú friss agyfelszíni vérzés volt látható, melyek spontán eredetűnek tűntek, mivel a betegnek nem történt koponyasérülése. Tekintettel arra, hogy a betegnek évekkel korábban már volt egy nagy kiterjedésű spontán lebenyi agyállományi vérzése is, egy olyan betegség – nevezetesen az agyi amyloid angiopathia (cerebral amyloid angiopathy, CAA) – diagnózisa kezdett bennem alakot ölteni, melyet korábban csak harmadéves patológiai tanulmányaimból ismertem, a diagnózissal a neurológiai gyakorlatban sosem találkoztam, de tapasztalt kollégáim is csak anekdotálisan és leginkább ötlet szinten. A beteget statim felvettem osztályra a sürgősségi osztály érintése nélkül. A sürgősséggel megkért koponya MRI felvételen – az addigra már rövid úton elvégzett mélységi szakirodalmazás alapján számomra már kétséget nem hagyó megjelenéssel – jellegzetes lebenyi mikro- és makrovérzések valamint agyfelszíni vérlerakódások látszottak, melyek egyértelműen támogatták a CT alapján általam felvetett „ritka” betegség diagnózisát (1. ábra). Bár az MRI vizsgálattal megerősített iránydiagnózis némi megelégedéssel töltött el, nem hagyott nyugodni a tény, hogy a betegnek egy néhány héttel korábban kezdődött, mégis igen jelentős fokú és rapidan romló szellemi hanyatlás miatt készült a sorsfordító koponya CT felvétele, én pedig mindaddig úgy tudtam, hogy szellemi hanyatlást a CAA csak hosszú távon okoz, azt is főként a vele gyakran társuló Alzheimer betegség miatt. Ismételten visszabújva az online szakirodalomba leltem rá meglepetésszerűen és mintegy megvilágosodásként a – mint akkor kiderült – tipikusan gyors szellemi hanyatlással járó és akkori tudásunk szerint igencsak ritka CAA altípusra, az úgynevezett gyulladásos CAA-ra (CAA-related inflammation, CAA- RI), melynek további két legfontosabb tulajdonsága, hogy általában összefolyó fehérállományi agyödémával társul, valamint szteroid terápiára az esetek javarészében jól reagál, s így a szubakut szellemi hanyatlás és neurológiai állapotromlás potenciálisan visszafordítható. Mivel a beteg MRI felvételén az összefolyó fehérállományi ödéma is jól azonosítható volt, a beteg szteroidkezelésének létjogosultságáról a felettes kollégáimat nem kellett sokat győzködnöm. Legjobb igyekezetünk és a terápia ellenére azonban a páciens állapota rapidan és drámaian hanyatlott, újabb vérzései alakultak ki, epilepsziás rohamok jelentkeztek, s néhány héten belül elvesztettük.

1. ábra. Az első diagnosztizált CAA és egyben CAA-RI beteg koponya képalkotó vizsgálatai. (A) Az évekkel korábbi agyállományi lebenyi vérzés maradványa. (B) A behozott friss CT vizsgálaton két apró hiperdenz (fehér) agyfelszíni vérzés; a korábbi vérzés helye körül kiterjedt ödéma. C) A koponya MRI vérzésekre érzékeny szekvenciáján számtalan különböző korú agyfelszíni vérlerakódás (jelszegény vagyis
„fekete” szalagok), lebenyi mikrovérzések (jelszegény pöttyök) és makrovérzések (jelszegény szélű nagyobb állományi eltérések), a mély agyterületek érintettsége nélkül, CAA-ra jellegzetes módon. (D) Összefolyó aszimmetrikus T2 jelintenzív (világos) ödémás eltérések, melyek gyulladásos CAA-ra (CAA-RI) jellegzetesek.
Szalardy et al. 2024, Neuropathology and Applied Neurobiology nyomán.

Az agy post mortem szövettani vizsgálatába a szegedi patológus kollégák mellett a bécsi Klinikai Neurológiai Intézet is involválódott Kovács professzor révén, mely munka során mind a súlyos fokú CAA, mind a CAA-RI gyulladásos altípus definitív szövettani megerősítést nyert, első definitív CAA esetként az SZTE-n, és tudomásunk szerint első definitív CAA-RI-ként az országban (2. ábra). Ezzel szinkron a beteg még a neurológiai diagnosztika keretében levett agyvízmintájának post mortem elemzésével – az Alzheimer-kór kiegészítő diagnosztikájaként laborunkban már rutinszerűen alkalmazott mérési módszerrel – megerősítettük, hogy az amyloid-β központi idegrendszeri (esetünkben javarészt az agyi kiserekben való) lerakódását CAA betegségben is már in vivo ki lehet mutatni (a betegnek társuló Alzheimer-kórja a neuropatológiai feldolgozás alapján nem volt, összhangban a liquor biomarker méréseink ezirányú további eredményeivel).

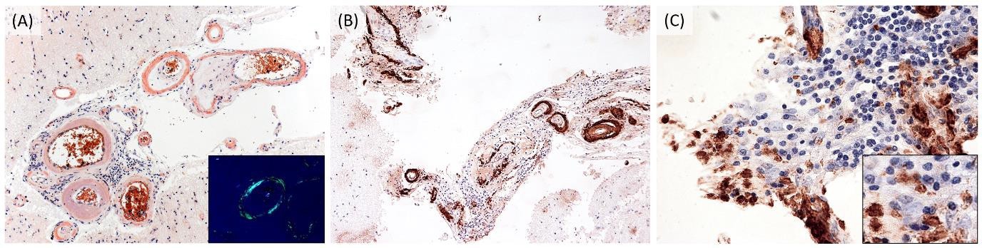
2. ábra. A neuropatológiai diagnózis. (A) Kongó vörös pozitív amyloid érbetegség a lágyagyhártyában és az agykéregben, jellegzetes almazöld felfénylést mutatva a polarizációs mikroszkóp alatt. (B) Az immunhisztokémia alapján az érfelakban amyloid-β rakódott le, igazolván a CAA diagnózist. (A-C) Az erek körül limfocitákat és makrofágokat tartalmazó masszív gyulladásos beszűrődés mutatkozik, ami CAA- RI-t jelez (perivascularis altípus). (C) A gyulladásos beszűrődésben amyloid-β fehérjét tartalmazó falósejtek jelzik az immunrendszer aktív eltakarítási kísérletét.
Szalardy et al. 2024, Neuropathology and Applied Neurobiology nyomán.

A beteg története mély benyomást tett rám és továbbra is erősen foglalkoztatott. Az esetet prezentáló előadásom abban az évben két rangos hazai kongresszuson (a Magyar Neuroimmunológiai Társaság és a Magyar Stroke Társaság kongresszusai) A konferencia legjobb előadása díját kapta. Ezidőtájt formálódott bennem a felismerés, hogy az akkoriban világszerte is dokumentáltan aluldiagnosztizált CAA hazánkban valóban a csaknem nem létező diagnózisok közé tartozik, noha nemzetközi patológiai tanulmányok már akkor rávilágítottak, hogy a hatvan év feletti lakosság negyede, a nyolcvan év feletti lakosságnak pedig akár a fele szövettani értelemben érintett lehet, továbbá hogy az ebbe az életkori csoportba tartozó populációban széles körben alkalmazott véralvadásgátló gyógyszerek jelentős többlet agyvérzéskockázatot jelentenek a CAA-ban szenvedő betegeknek. Felismerve tehát a vérzékenysége és a potenciálisan visszafordítható gyulladásos hajlama miatt terápiás szempontból is igen relevánsnak tűnő betegség jelentős diagnosztikai hiátusát, akkori szakdolgozómmal és majdan egyben első doktoranduszommal közös munkában elvégeztük a CAA okozta agyállományi vérzések előfordulási gyakoriságának és azok előrejelző tényezőinek (prediktorainak) retrospektív feltárását a dél-alföldi országrészben, radiológiai és patológiai alapokon, az akkor hatályos diagnosztikai kritériumok alapján. A vizsgálatunk a lebenyi elhelyezkedésű spontán agyvérzések leggyakoribb kóroki tényezőjeként azonosította a CAA-t, valamint többek között megerősítette, hogy a CAA az idősebb populáció betegsége, extrém módon aluldiagnosztizált, hogy a CAA okozta agyállományi vérzés gyakran megismétlődik, hogy a vérlemezkegátló gyógyszerek szedés e tekintetben szignifikáns rizikótényezőt jelent, s hogy a téves diagnózis vagy a nem felismert CAA betegség fatalitásba torkollása nem egy teoretikus lehetőség, hanem számszakilag is kimutatható valóság. A közlemény a közép-európai régi első ilyen jellegű tanulmányaként jelent meg 2020-ban, akkor világszerte is csak néhány hasonló munka által megelőzve, felhelyezve az újonnan alakuló munkacsoportot a CAA irányú klinikai kutatások nemzetközi palettájára (Fakan et al. 2020).

Mindezzel egy időben akkor friss neurológus szakorvosként, önálló tevékenység keretében megkezdtem az azóta is konszekutíve – és részint a retrospektív vizsgálatunk keretében is – a Klinikánkon spontán agyállományi vérzéses eltérésekkel azonosított betegek ambuláns gondozásba vételét, az adekvát kóroki diagnózis, a megfelelő utánkövetés és az evidenciákon alapuló gondozás rendszerének megteremtése céljából. A lehető legmagasabb szintű betegellátást előmozdítandó, konzultatív és tudományos együttműködések keretében azóta kiterjedt nemzetközi kapcsolatrendszert alakítottam ki, mely folyamatosan mélyül és bővül. Ennek keretében tagja vagyok az International CAA Association-nek (ICAA), az Inflammatory Cerebral Amyloid Angiopathy and Alzheimer’s disease Biomarkers (iCAβ) International Network-nek, valamint tagja és szervezőbizottsági tagja vagyok az ICAA Early Career Researcher Network-jének. A https://caaforum.org/index.php/find-a-doctor/ weboldal a CAA-val foglalkozó speciálisták között tart nyilván.

Az együttműködések keretében aktívan részt vettem a CAA legfrissebb diagnosztikai kritériumainak (Boston criteria v2.0) kidolgozásában, mely tanulmánynak társszerzője vagyok (Charidimou et al. 2022). Az úgynevezett vegyes elhelyezkedésű (mély és felszínes) agyi vérzéses eltéréseket hordozó betegekre vonatkozó, a Boston criteria v2.0 munkacsoport szűkebb szerzői köre által jegyzett kiegészítő diagnosztikai kritériumrendszert bemutató kéziratot a közeljövőben nyújtjuk be bírálatra, mely munkában szintén társszerzőként közreműködtem.

Az iCAβ Network segítségével optimalizáltuk az Alzheimer-kór és a CAA – különösképpen a CAA-RI – vonatkozásában is rizikógénnek tartott apolipoprotein E (APOE) genotípusának meghatározását laborunkban. A minőségkontrollált tudományos vizsgálat keretében már másfél évtizede általunk is mért és a CAA vonatkozásában az azóta kumulálódó nemzetközi adatok alapján is releváns liquor amyloid-β, Tau és pTau vizsgálatok, valamint a szintén tudományos munka keretében végzett és klinikai genetikus bevonásával kommunikált APOE genotipizálás így minden agyi kisérbetegséggel diagnosztizált betegünk számára térítésmentesen elérhető. A neurológiai és cerebrovaszkuláris állapot mellett rendszeresen felmérjük és követjük a betegek neurokognitív státuszát, szükség szerint neuropszichológus és pszichiáter kollégákat is bevonva a beteg hosszú távú multidiszciplináris ellátásába és gondozásába. Ezáltal a nemzetközi viszonylatban is jelenleg hozzáférhető legmagasabb szintű eszközös és nem eszközös diagnosztikát tudjuk biztosítani a betegeinknek.

Az elmúlt években ily módon több száz vérzéses kisérbetegségben szenvedő pácienst diagnosztizáltam és/vagy gondoztam; a Budapest több neurológiai centrumából valamint közép- és dél-magyarországi régiók több megyei szintű kórházából felém referált betegekkel együtt összesen több, mint 100 CAA-s beteg diagnózisát hoztam meg vagy járultam hozzá, melyek közül a CAA-RI betegek száma is már 20 feletti. A CAA-RI betegeink közül sokan rendkívül látványosan reagáltak az időben megkezdett szteroid terápiára (3. ábra), legtöbbjük azóta is stabil, néhányukat azonban nem tudtunk megmenteni – utóbbi esetben a klinikai diagnózis a neuropatológiai vizsgálatra került betegeink esetében definitív megerősítést kapott. A betegeink terápiás lehetőségeit bővítendő, a közelmúltban a CAA első nemzetközi multicentrikus fázis II terápiás klinikai vizsgálatának vizsgálati helyévé választottak bennünket; a betegek bevonása reményeim szerint az Európai Unió országaiban és így Magyarországon is hamarosan elindulhat.

3. ábra. Remisszióban lévő CAA-RI betegeink egy reprezentatív esete. (A) Néhány nap leforgása alatt kialakult súlyos jobb agyféltekei tünettan, hallucinációk és epilepsziás rosszullét hátterében kiterjedt T2 jelintenzív agyödéma igazolódott. (B) A vérzésre érzékeny szekvencián az ödéma és a felette lévő agykéregrészekben észlelhető számos, mikrovérzésnek megfelelő pontszerű apró jelszegény (fekete) eltérés együttesen CAA-RI-re utal. (C) Nagy dózisú vénás szteroid kezelés után 2 hónappal a beteg neurológiai és kognitív állapotának teljes helyreállását a T2 jelintenzív ödéma csaknem teljes eltűnése kísérte. (D) A vérzéses eltérések száma nem nőtt tovább. (Két évvel később már az ödéma maradéka sem volt látható, az antiepileptikum is leállt.)
Szalardy et al. 2024, Neuropathology and Applied Neurobiology nyomán

A klinikai gyakorlatom során kiemelt fontosságúnak tartom a beteggel és a hozzátartozókkal való nyílt és őszinte kommunikációt és támogató magatartást, hiszen legtöbbjüket éveken keresztül, a betegség természetéből és a betegek életkorából adódóan akár a beteg haláláig kezelőorvosként elkísérem, s a CAA diagnózis meghozása vagy éppen elvetése számos olyan jelentős klinikai döntéshozatali helyzet elé állít orvost és beteget/hozzátartozót, ami a beteg sorsát alapvetően meghatározza. Ide tartozik többek között: 1) az egyéb okból véralvadásgátló terápiára szoruló CAA betegek ezirányú terápiájának korlátozása vagy éppen dinamikus utánkövetése és felülbírálata a beteg aktuális klinika és radiológiai állapota fényében; 2) a véralvadásgátló terápia lerövidítése/kiiktatása céljából szükség esetén az agyi infarktus megelőzésére (pitvari fülcsezárás) vagy tüdőembolia megelőzésére (vena cava filter) alkalmas eszközös terápiák lehetőségeinek körüljárása a társszakmák felé történő referálással;

3) a gyulladásos CAA kórforma esetén az immunszuppresszív terápia indítása, megválasztása, dozírozásának és fenntartásának folyamatos revíziója, egy a mellékhatások vonatkozásában különösen esendő populációban. Hasonlóan nyílt és egyértelmű kommunikációt igényel a tudományos vizsgálatok keretében végzett és/vagy specifikusan ilyen céllal történő vizsgálatokhoz és azok tudományos közléséhez való tájékozott beleegyezés tárgyköre, de legkifejezettebben az elhunyt betegeink neuropatológiai vizsgálatába való – leggyakrabban a családot érintő – beleegyezés kérdésköre, aminek bejáratott hagyománya Hazánkban nincs. E tekintetben a tapasztalataim igen pozitívak, az embereknek a közösség javát szolgálni való készségének és szándékának mértéke számomra váratlan. Hozzátartozók és betegeim is alkalmasint bátran megszólítanak akár az utcán is, érdeklődnek a legújabb tudományos eredményekről, hálásak az adott esetben már nem velünk lévő hozzátartozójuknak nyújtott kiemelt figyelemért, amik az ember lelkének jól eső és bátorító visszajelzések.

A gyakorlat újszerűségének, társadalmi és szakmai jelentőségének bemutatása

A fent leírt eredmények alapján elmondhatjuk, hogy 8 év leforgása alatt egy a gyakorlatban nem létező diagnózisból eljutottunk odáig, hogy nemzetközileg jegyzett betegellátó, tudományos és klinikai vizsgálati centrummá váltunk a valóságban egyáltalán nem ritka és jelentős klinikai relevanciákkal bíró CAA betegség területén, s mindez egy sorsfordító orvos- beteg találkozásból indult. A genetikai rizikóbecsléssel, a liquor biomarkerek elérhetőségével, valamint a hosszútávú neurológiai, neuroradiológiai és neurokognitív követéssel nemzetközi viszonylatban is a jelenleg hozzáférhető legmagasabb szintű diagnosztikát tudjuk biztosítani az agyi kisérbetegeknek, az ellátásuk fejlesztését célzó tudományos munkához való aktív hozzájárulás lehetőségének megteremtésével együtt.

Ez az évek alatt összegyűjtött jól klasszifikált „beteganyag” és biológiai mintagyűjtemény a CAA irányú eddigi, jelenleg is zajló és további kutatások lehetőségeinek széles körét teremtette meg. A 2022-ig diagnosztizált gyulladásos CAA (CAA-RI) betegeink esetbemutatásait 2024 elején publikáltuk elsőszerzésemben megjelent közleményben, magas presztízsű, D1 besorolású folyóiratban (Szalardy et al. 2024). Ugyanebben a közleményben a szakirodalomban a mi eseteinkkel együtt akkor elérhető 305 CAA-RI eset részletező retrospektív elemzése alapján a CAA-RI új diagnosztikai kritériumrendszerére tettünk javaslatot, s azonosítottunk új diagnosztikai és prognosztikai markereket. Az agyvíz fehérvérsejtszám-emelkedésének prognosztikai jelentősége mellett, tanulmányunk volt az első szisztematikus vizsgálat, mely a lágyagyhártyai kontrasztanyaghalmozásnak valamint az agyfelszíni liquortér MRI jelmenetének fokális megváltozásának önálló diagnosztikai szerepét azonosította és bizonyította (4. ábra). A jelenségeket azóta a bostoni munkacsoport is több közleményben javasolta önálló radiológiai diagnosztikai entitásként, hivatkozván a munkánkra (Charidimou 2024). A napokban rendkívül megtisztelő felkérést és meghívást kaptam a Neuropatológiai Társaságok Európai Szövetsége (Euro-CNS) által szervezett – 3-5 évente megrendezésre kerülő – 13th European Congress of Neuropathology eseményre, a fenti tanulmányunk eredményeinek előadás keretében történő bemutatására.

A kontroll csoportokkal együtt összegyűjtött több száz jól klasszifikált szérum- és plazmaminta, valamint a már száz feletti jó minőségű liquorminta tehát lehetővé teszi a CAA diagnosztikájának, klasszifikációjának és rizikóbecslésének fejlesztését, további biomarker molekulák azonosításával és validálásával. A folyadék-biomarker vizsgálataink kezdeti eredményeit a 2024-es közleményünkben már közöltük, azonban jelenleg is több kézirat készül, s folyamatosak a méréseink a kutatólaboratóriumban lelkes és rátermett TDK-s orvostanhallgatók bevonásával, melyek további jövőbeni tudományos közleményeket, PhD munkákat és reményeim szerint tudományos pályafutásokat alapoznak meg. Nem titkolt célunk a liquorban azonosított biomarkerek vérből való kimutathatóságának vizsgálata és az alkalmazott módszerek vérmintákra való átültetése, a diagnosztika invazivitásának csökkentése és így a betegek kényelmének fokozása érdekében. Ezirányú vizsgálataink eredményeinek egy része is már kézirati fázisban van. Továbbá jelenleg már bírálati fázisban van egy akut iszkémiás stroke klinikai megjelenését mímelő, szövettanilag definitív CAA-RI- ként azonosított betegünk esetriportja, valamint a toronto-i munkáim közül szintén bírálat alatt áll egy magas életkort megélt Down-szindrómás betegkohorsz részletes neuropatológiai analízise CAA vonatkozásában.

4. ábra. Új diagnosztikai entitások azonosítása CAA-RI-ben. (A) Egy CAA betegünknek a szuszceptibilitás súlyozott MRI szekvencián (SWI) látható vérzései környezetében a FLAIR felvételen a liquor jelintenzitása néhány barázdában megnőtt (sulcal non-nulling), ezen a területen a Gadolinium kontrasztos (T1Gad+) szekvencián kiterjedt lágyagyhártyai halmozás is jelen van. (B) Az eltérések 2 hónap alatt spontán elmúltak. (C) Fejfájáshoz és fokális epilepsziás görcstevékenységhez társulóan a lágyagyhártyai halmozás visszatért 4 hónappal később. (D) A halmozás és a tünetek nagy dózisú vénás szteroid terápiát követően ismét eltűntek. Tanulmányunk eredményei alapján a két jelenség fehérállományi ödéma nélkül is CAA-RI-re utal, a diagnosztikai kritériumok érzékenységét szignifikánsan növelik, valamint a terápiahatékonyság biomarkereiként alkalmazhatók.
Szalardy et al. 2024, Neuropathology and Applied Neurobiology nyomán.

Irodalomjegyzék: